Scientists find that the plant-based molecule quercetin mitigates age-related hearing loss, averts cochlear deterioration, and reduces inflammation in middle-aged mice.
Highlights
According to a U.S. survey, age-related hearing loss affects more than 40% of the elderly. Those affected often experience isolation, depression, and poor quality of life, which studies suggest depletes cognitive resources, leading to dementia. However, scientists have yet to identify what causes of age-related hearing loss, restricting treatments to cochlear implants and hearing aids.
Still, recent decades have brought scientists to establish a framework whereby most age-related conditions share the same underlying dysfunctional biology. These underlying biological drivers of aging can be targeted with interventions like quercetin. Quercetin is a plant-based molecule known as a polyphenol, found in many fruits and vegetables.
Quercetin counteracts aging drivers like inflammation, senescent cells, and malfunctioning mitochondria. Furthermore, these aging drivers are associated with age-related hearing loss. For these reasons, researchers from Chongqing University in China tested whether quercetin could alleviate hearing loss in middle-aged mice, as published in a new PLOS One study.
The researchers administered quercetin to 6-month-old mice until the mice were 12-month-old, which is roughly similar to a human taking quercetin from the age of 30 to 45. Strikingly, the middle-aged (12-month-old) mice treated with quercetin responded better to sound, as measured by the electrical activity of their brainstem. This was especially apparent at higher frequencies, namely 32 kHz, which is out of human range (ultrasound).

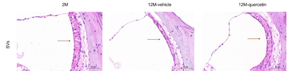
The researchers also assessed the cochlea, the snail-shaped inner ear structure that converts vibrations into electrical activity, which the brain interprets as sound. They found that, within the cochlea of untreated middle-aged mice, there were fewer neurons, which transmit electrical signals to the brainstem, and hair cells, which are the cells that convert vibrations into electrical activity. Moreover, the scala vestibuli, which develops the voltages necessary to transmit electrical signals, was degenerated. Remarkably, much of this cochlear deterioration was prevented by treatment with quercetin.

In recent years, scientists have realized that many chronic age-related conditions share the same underlying biological dysfunction, which they have classified as the hallmarks of aging. The hallmarks of aging include inflammation, mitochondrial malfunction, and oxidative stress, which is the damage caused to cells by free radicals. These aging hallmarks contribute to the gradual degeneration of organs and tissues that define aging.
Inflammation and Oxidative Stress
In the cochlea and auditory cortex, the region of the brain that processes our sense of sound, the Chongqing University researchers measured for signs of biological dysfunction. They found that both inflammation and oxidative stress were elevated in untreated middle-aged mice, but could be alleviated with quercetin treatment. Notably, quercetin suppressed the NLRP3 inflammasome, a protein complex that stimulates inflammation and has previously been implicated in age-related hearing loss by contributing to auditory cell death.
Mitophagy
The hallmarks of aging are highly interconnected, and many hallmarks lead to inflammation and oxidative stress. For example, malfunctioning mitochondria produce excessive levels of free radicals, which trigger oxidative stress and inflammation. As it so happens, our cells’ ability to clear and recycle malfunctioning mitochondria—mitophagy—becomes progressively impaired with aging. Remarkably, the researchers found that quercetin prevented the impaired mitophagy observed in the cochlea and auditory cortex of middle-aged mice.

The findings of the Chongqing University researchers suggest that quercetin counteracts age-related hearing loss by restoring mitophagy to the cochlea and auditory cortex, leading to reduced inflammation and oxidative stress. A previous study showed that urolithin A, a potent mitophagy inducer, also mitigates age-related hearing loss in mice. In rats, quercetin mitigated hearing loss from noise and toxicity, and similar results have been found in other studies. Together, these studies suggest that quercetin combats hearing loss by promoting mitophagy and reducing inflammation and oxidative stress in rodents.
Additionally, quercetin is often combined with a cancer drug called dasatinib. The combination of dasatinib and quercetin was shown to mitigate age-related hearing loss by removing senescent cells. This is in line with studies showing senescent cells accumulate with age and may be the primary driver of age-related chronic inflammation, and it seems possible that removing senescent cells alleviates hearing loss. Nevertheless, the combination of dasatinib and quercetin leads to brain connectivity degeneration in mice, according to a recent study. This could potentially be due to dasatinib, which is why future studies should test these compounds separately. Moreover, we have previously reported on a study showing that dasatinib and quercetin are safe for Alzheimer’s patients.
Model: 12-month-old C57BL/6J mice
Dosage: 50 mg/kg/day of quercetin for 6 months, administered intragastrically (within the stomach)